Amylose AL

Amylose primitive

PNDSMis à jour

Résumé des recommandations pour le généraliste

  • L’amylose AL est une maladie tissulaire grave causée par le dépôt extracellulaire de fibrilles insolubles constituées de chaînes légères d’immunoglobulines monoclonales atteignant principalement le rein et le cœur (jamais le cerveau). Elle survient surtout après 60 ans
  • Les signes de l’amylose ne sont pas spécifiques: fatigue, AEG, cardio-rénaux (dyspnée, œdèmes des membres inférieurs, troubles du rythme), hépato-splénomégalie, digestifs (diarrhées), dysautonomiques
  • Le bilan de l’amylose AL comporte: bilan biologique, électrophorèse et immunofixation des protéines sériques et urinaires, NT-proBNP, ECG et échocardiographie, échographie abdominale …
  • Adresser au spécialiste (hématologue, interniste) avec le bilan pour le diagnostic et la prise en charge pluridisciplinaire de l’amylose

Amylose AL
A pour Amylose et L pour chaîne légère d’immunoglobuline.
Maladie tissulaire grave causée par le dépôt extracellulaire de fibrilles insolubles constituées de chaînes légères d’immunoglobulines monoclonales atteignant principalement le rein et le cœur (jamais le cerveau). Elle survient surtout après 60 ans et atteinte une majorité d’hommes.
L’évocation diagnostique est difficile du fait du polymorphisme des atteintes. Le diagnostic est histologique avec une chaîne légère lambda pour 2/3, de production plasmocytaire lente (ne partageant pas la prolifération du myélome).
L’amylose AL représente 70% des amyloses avec 700 cas par an.

Abréviations

BGSA
biopsie des glandes salivaires accessoires
PNDS
protocole national de diagnostic et de soins

Les signes et symptômes de l’amylose AL sont aspécifiques.

Interrogatoire

  • Antécédents
  • Traitements en cours
  • Fatigue
  • Symptômes rénaux et/ou cardiaques
    Dyspnée, prise de poids, œdèmes des membres inférieurs, troubles du rythme cardiaque.
  • Symptômes hépatiques
    Hépatomégalie, splénomégalie, cholestase anictérique.
  • Symptômes digestifs
    Épisodes de diarrhées, amaigrissement, anorexie, saignements digestifs.
  • Neuropathie périphérique
    Douleurs et paresthésies des extrémités.
  • Symptômes végétatifs
    Diarrhée, sueurs, dysfonction érectile, hypotension orthostatique.
  • Autres signes d’infiltration organique
    Syndrome du canal carpien, goitre, infiltration musculaire et tendineuse (signe de l’épaulette), hématomes (déficit en facteur X).
  • Signes évocateurs (plus rares): macroglossie, ecchymoses périorbitaires.

Examen clinique

  • Pression artérielle assis et debout, fréquence cardiaque
  • Poids et variations, taille, IMC
  • Examen cardiovasculaire
  • Palpation abdominale
  • Examen neurologique
  • Examen de la langue

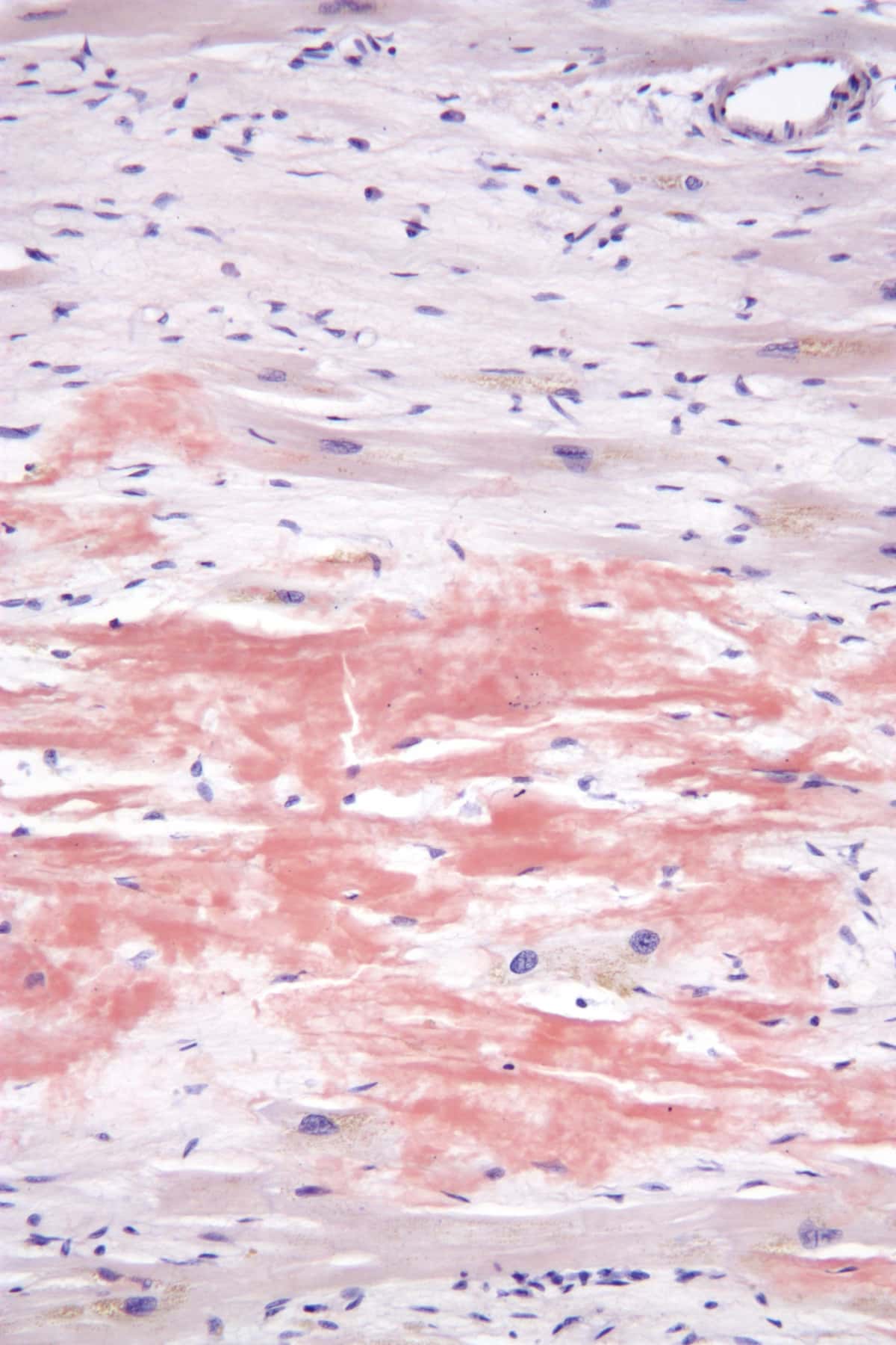
Le diagnostic d’amylose AL est histologique: dépôts amyloïdes colorés par le Rouge Congo avec une biréfringence jaune verte caractéristique en lumière polarisée.

Bilan d’une suspicion d’amylose AL

  • NFS, CRP
  • Albuminémie, protéinurie
  • Créatinine, DFG
  • Bilan hépatique
  • Électrophorèse et immunofixation des protéines sériques et urinaires
  • Dosage des chaînes légères libres sériques
  • NT-proBNP, troponine
  • ECG
  • Échographie abdominale
  • Électromyogramme

Adresser au spécialiste (interniste, hématologue) pour affirmer le diagnostic (biopsie des glandes salivaires accessoires – BGSA) et myélogramme.

La prise en charge de l’amylose AL est spécialisée et pluridisciplinaire (interniste, hématologue, cardiologue, néphrologue, neurologue) après RCP. Le centre de référence de l’amylose est l’hôpital Tenon (Henri-Mondor pour l’amylose cardiaque).

Association de patients: Association française contre l’amylose.

Le suivi est rapproché (souvent trimestriel) avec surveillance des chaînes légères libres sériques. Les rechutes sont possibles.

Pour en savoir plus: traitement de l’amylose AL

Le traitement de l’amylose AL contre la prolifération plasmocytaire (ou lympho-plasmocytaire) permet l’amélioration des symptômes lorsqu’une réponse hématologique profonde est obtenue (baisse voire normalisation de la chaîne légère monoclonale plasmatique).

Les traitements proposés peuvent être: chimiothérapie (Melphalan-dexaméthasone, cyclophosphamide), immunothérapie (bortezomib).

Aucun traitement n’existe pour la résorption des plaques amyloïdes constituées.